Abcessus glandularum sudoriferarum is een oude naam
voor een
abces uitgaande van een zweetklier. Werd
vroeger gebruikt voor abcederende infectie in het kader van
hidradenitis
suppurativa (etterende zweetklier ontsteking). Uit recente literatuur
blijkt dat
hidradenitis
suppurativa eigenlijk een verkeerde naam is omdat niet de zweetklieren maar
de talgklieren (het haartalgklier complex) de bron zijn van de abcederende ontstekingen.
Hierdoor raakt ook de naam zweetklierabces (Engels:
sweat gland
abscess) in onbruik. De naam hidradenitis suppurativa (acne ectopica,
acne inversa) blijft wel in gebruik, ondanks het feit dat het eigenlijk niet
een goede naam is. De reden daarvoor is dat de term internationaal zo ingeburgerd
is dat er geen draagvlak is voor een naamswijziging.
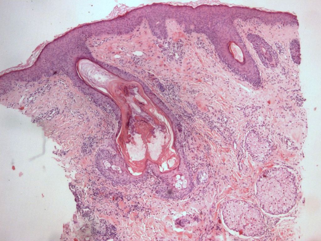
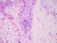
![Zweetklieren (click on photo to enlarge) [source: www.huidziekten.nl] Zweetklieren](../../../images/zweetklieren-1z.jpg) |
![Zweetklieren (click on photo to enlarge) [source: www.huidziekten.nl] Zweetklieren](../../../images/zweetklieren-2z.jpg) |
| zweetklieren |
zweetklieren |
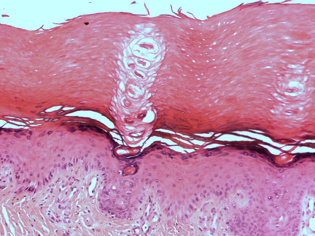
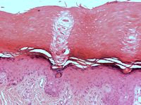
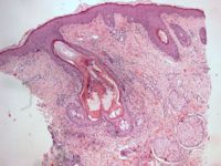
![Talgklieren (click on photo to enlarge) [source: www.huidziekten.nl] Talgklieren](../../../images/talgklieren-1z.jpg) |
![Talgklieren (click on photo to enlarge) [source: www.huidziekten.nl] Talgklieren](../../../images/talgklieren-2z.jpg) |
| talgklieren |
talgklieren |
Author(s):dr. Jan R. Mekkes. Dermatologist, Amsterdam UMC.