|
BACTERIAL VAGINOSIS |
 |
WHAT IS BACTERIAL VAGINOSIS?
Bacterial vaginosis is
a a disruption of the bacterial balance in the
vagina, causing excessive grayish-white vaginal
discharge. It is not an STD (sexually transmitted
disease). Under normal circumstances, the vagina maintains a balanced pH. Most germs cannot survive in this balance. Certain situations can disrupt this balance, such as washing the vagina with soap or leaving a tampon in for too long. The balance can also be disrupted after a course of antibiotics or after inserting an IUD. This disruption creates a less acidic environment, allowing certain bacteria (Gardnerella vaginalis and other species) to grow excessively.
SYMPTOMS IN FEMALES
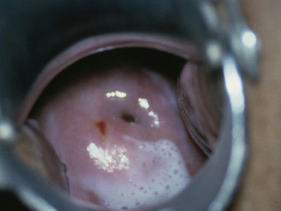
Bacterial vaginosis produces a grayish-white vaginal discharge. Sometimes gas bubbles are visible. The discharge has a sour smell and can even have a fishy odor. The amount of discharge varies, sometimes a lot, sometimes very little during periods. If the discharge comes into contact with semen, the odor becomes even stronger. Sometimes you experience itching and vaginal flatulence. Symptoms can appear suddenly. You can have bacterial vaginosis without experiencing any symptoms.
![Bacterial vaginosis (Gardnerella vaginalis): foamy discharge with gas bubbles (click on photo to enlarge) [source: www.huidziekten.nl] Bacterial vaginosis (Gardnerella vaginalis): foamy discharge with gas bubbles](../../images/STD/bacteriele-vaginose-1z.jpg) |
|
bacterial vaginosis |
SYMPTOMS IN MEN
As a man, you can become infected with certain bacteria, which have overgrown in women with bacterial vaginosis. However, this usually does not cause any symptoms.
EXAMINATION
Bacterial vaginosis is diagnosed by determining the acidity of the vaginal discharge, performing an odor test, and examining the discharge under a microscope.
TREATMENT
Treatment is only necessary if bacterial vaginosis causes symptoms. The condition responds effectively to a short course of medication. Metronidazole is usually prescribed: four 500 mg tablets at once, or two 500 mg tablets daily for one week. Metronidazole can cause nausea. You should not drink alcohol during the course of treatment. An alternative is vaginally inserting a 500 mg metronidazole ovule once a day before bedtime for one week, or clindamycin 2% vaginal cream once a day for one week.
If there are no or few symptoms, it is also possible to wait for the normal balance to spontaneously return. This usually takes several weeks.
Male partners do not need to be treated at the same time. Only if the symptoms recur will the partner be treated at the same time. Women can also transmit this condition to each other. Therefore, the female partner(s) should also be tested. It is better to avoid sex during treatment. This gives the body the opportunity to recover.
OTHER ADVICE
Try to disturb the natural state of the vagina as little as possible. You should not wash more frequently or thoroughly; soap can irritate the vaginal mucosa and affect the acidity. Rinsing the pubic area with lukewarm water in the shower is sufficient. The inside of the vagina cleans itself. Several products are available from drugstores or pharmacies that can reduce vaginal acidity.
|