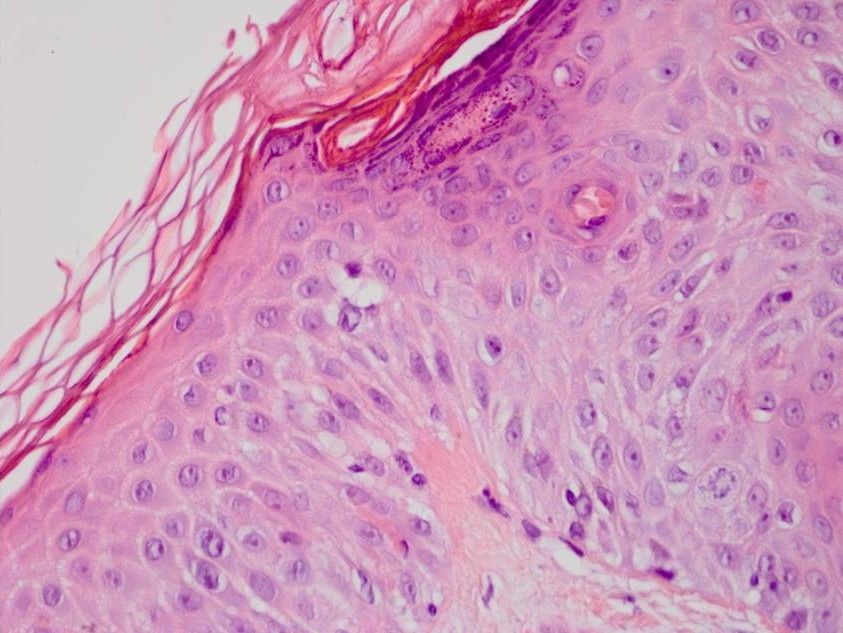
Beschrijving:Spongiose:
Verwijding van de intracellulaire
ruimtes tussen de keratinocyten door oedeem in de epidermis of secundair aan
vochtophoping in de dermis. De cellen zijn nog wel met elkaar verbonden met
hun desmosomen. Indien er sprake is van focale spongiose is dit klinisch te
herkennen als vesikels.
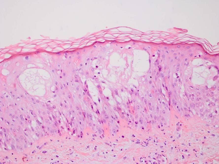
Spongiotische vesikels:
Beginnende holtevorming
in de epidermis tussen cellen, er ontstaan microcavities confluerend tot (spongiforme)
vesikels. De keratinocyten zijn nog met hun desmosomen aan elkaar verbonden
en hebben een stervorm, waardoor het geheel een sponsachtig aspect krijgt.
 |
 |
| milde spongiose |
uitgebreide
spongiose met spongiforme vesikels |
Meer informatie:Spongiose komt voor bij:
- atopisch eczeem
- contact allergische eczeem
- acrovesiculeus eczeem
- eczeem nno (dermatitis nno)
Author(s):dr.
Mandy E. Schram. Arts-assistent Dermatologie, AMC, Amsterdam.