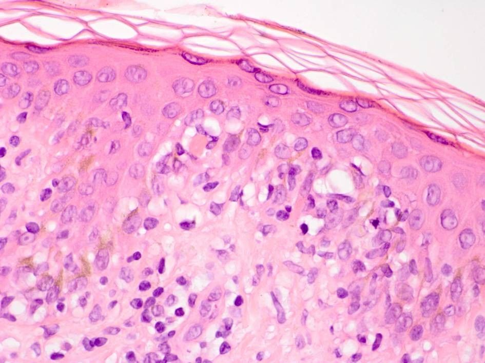
Beschrijving:Een apoptotische keratinocyt omgeven door
één of meerdere lymfocyten.
 |
| satellietcel
necrose |
Meer informatie:Satellietcelnecrose komt voor
bij:
- erythema exsudativum multiforme
- acute graft versus host disease
- fixed drug eruption
- toxische epidermale necrolyse (TEN)
Ook kan
het worden gezien bij:
- acute radiatie dermatitis
- dermatomyositis
Author(s):dr. Mandy E. Schram. Arts-assistent
Dermatologie, AMC, Amsterdam.