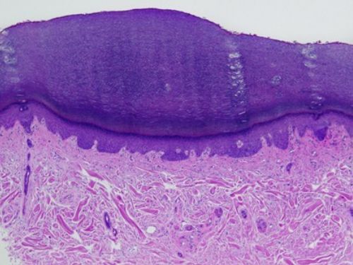
Beschrijving:Normaal aspect van het stratum corneum bij
normale uitrijping van de epidermis. De naam
basket weave
komt van een gevlochten mandje, denk aan een gevlochten broodmandje.
 |
| basketweave
orthokeratosis |
Meer informatie:Een normaal verhoornende hoornlaag
heet
orthokeratose, een normale hoornlaag met een
basketweave patroon noemt men
basket-weave orthokeratose.
Op de handpalmen en voetzolen is er normaal sprake van compacte orthokeratose.
 |
| compacte orthokeratose
(voetzool) |
Orthokeratose komt voor bij:- normale huid
Author(s):dr. Jan R. Mekkes. Dermatologist, Amsterdam UMC.
dr. Mandy E. Schram. Arts-assistent Dermatologie, AMC, Amsterdam.